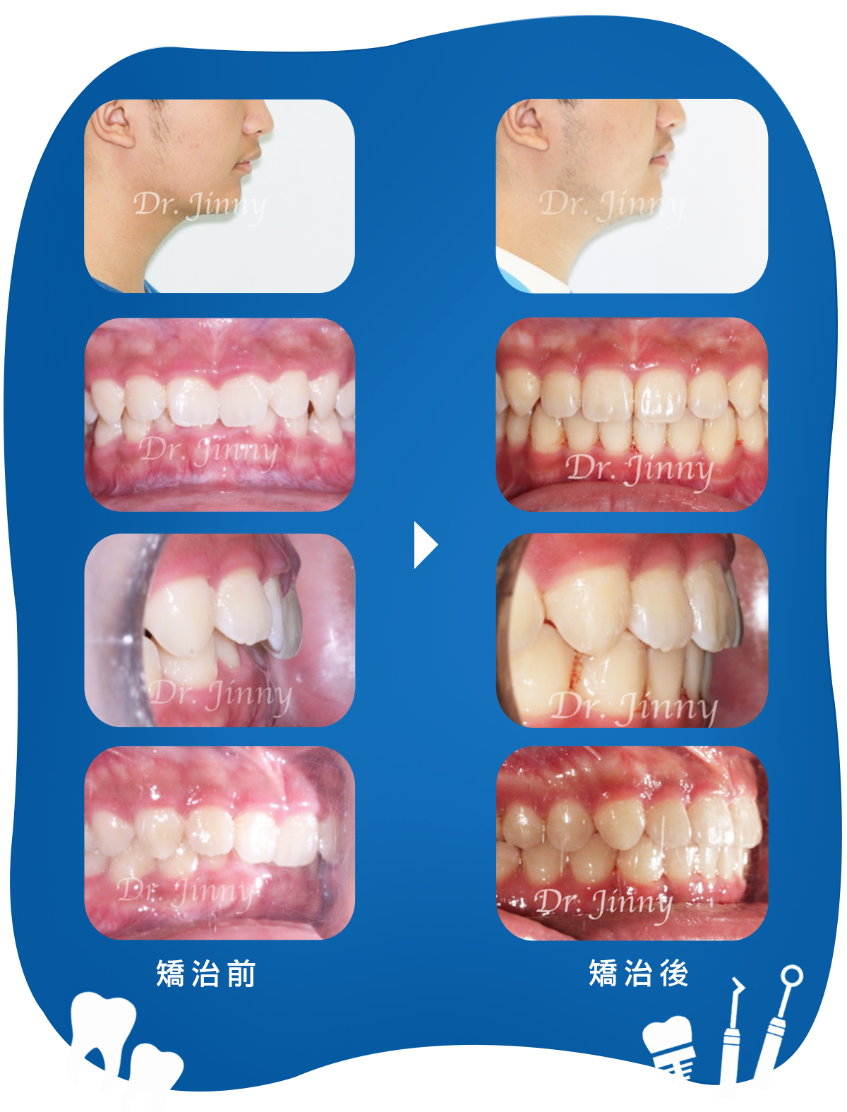
Dr.林峻皓-微笑美學設計專家

專業技術、用心關懷,
陪伴您體驗不同以往的美好矯正!

小林美學牙醫診所
CONSULTATION SERVICE

電話 : (02)2968-6181
地址 : 新北市板橋區國光路187號2樓(麥味登旁邊上樓)

樹林晶致牙醫診所
CONSULTATION SERVICE

電話 : (02)8685-2300
地址 : 新北市樹林區中華路148號